本文へスキップ

広島県 江田島市 歯医者 上山歯科医院 です。

電話でのご予約・お問い合わせ      上山歯科医院
TEL.0823-42-2040

〒737-2121 広島県江田島市江田島町小用2-13-12

(医)上山歯科医院

診療内容(歯科一般)

                

 健康保険をお持ちの方は、歯科治療 ー 歯周病処置(歯石除去等)、

外科処置(抜歯等)、補綴処置(詰め物、冠、ブリッジ、義歯等)、

根管処置(抜髄等)ー の大部分が、保険で出来ます。


健康保険について

受診の際は、必ず健康保険証をお持ちください。

保険証がない場合、自費での診療になりますのでご注意ください。

 矯正歯科  小児歯科


矯正歯科
    育成更生医療(歯科矯正)の指定医療機関です。
                      (呉、江田島地域2医院)

         専門の矯正歯科医療を提供します。
     
         治療の時期は人によって違いますので、
     
         詳しくは医院にて相談お願いいたします。

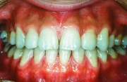
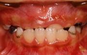
治療前

治療後

矯正装置(ブラケット)

矯正装置(リテーナー)

















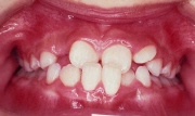
小児歯科
     子供の歯及び顎は、大人の歯のミニチュア
      
         ではありません。
      
         子供の個性及び成長にあった治療が必要です。

早期治療

早期治療後



 その他


スマイルデンチャー
    歯にひっかける金具(クラスプ)がない義歯です。
         
             薄くて軽くめだたない、使いやすいと評判です。

普通の義歯

スマイルデンチヤー


         

審美補綴
      白い(セラミック)かぶせもの(クラウン)
            
          白い(セラミック)詰め物(インレー)   等です。


ホワイトニング   ホームホワイトニング(家庭でのホワイトニング)

          をお勧めします
              
          オーダーメイドのトレイを作成して、2~4
               
           週間くらいかけて歯を白くします。
             
          個人差があり、出来ない歯又効果期間
             
          にも差がありますので、詳しくは医院にて
             
          相談お願いいたします。

ホワイトニングの道具

口の中に入れたところ


              
          オフィスホワイトニング(診療室で行うもの)

          もあります。診療室で1回約1時間かかります。

          これをケースによって日を改めて1~3回行います。

          オフィスホワイトニングとホームホワイトニング

          併用もあります。              

当院のオフィスホワイトニングは

光をを使わない方法です



                

   症例










 症例


 



             症例の一部はこちらから見てください


            facebookに発表した症例の一部はこちらから見てください




 工事中                             

 更新中