本文へスキップ

広島県 江田島市 歯医者 上山歯科医院 です。

電話でのご予約・お問い合わせ      上山歯科医院
TEL.0823-42-2040

〒737-2121 広島県江田島市江田島町小用2−13−12

(医)上山歯科医院

   症例                      

(症例の一部です)


下顎前突(埋伏歯)

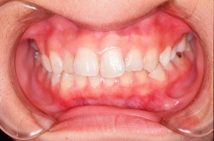
治療前 正面

受け口です

治療前 レントゲン写真

前から3番目の歯が埋伏しています











治療後 正面

正常になっています

治療後 上顎

正常になっています




   













             
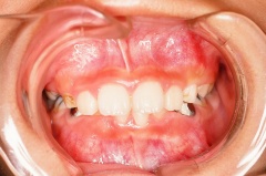
上顎前突 
                                                                                              

治療前 正面

上顎前歯がかぶっています

治療前 側面

上顎前歯が出ています













治療後 正面

正常になっています

治療後 側面

正常になっています

















                             
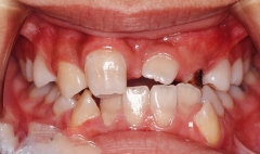
叢生(埋伏歯)

治療前 正面

乱杭歯になっています

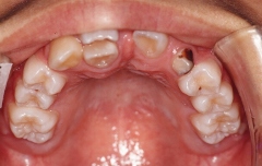
治療前 上顎

乱杭歯及び歯が一本埋伏しています












治療後 正面

正常になっています

治療後 上顎

正常になっています


















                   
神経のない歯の漂白(1歯)

治療前

1本の歯が変色しています

治療後

だいぶん色が白くなっています

















            
舌小帯が短いため前に出なかった舌

治療前

舌が前に出ません

治療後

舌小帯を切除し舌が前にでました


















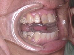
睡眠時無呼吸症侯群

口腔内装置

口腔内装置です

口腔内装置

口腔内装置装着中(かなり改善しました)